岛城首例!新生儿气道被上了“双重锁”,激光介入为喉软化合并声带麻痹患儿成功打通呼吸通道
发布时间:2025/3/20 18:04:40 / 浏览量: / 【关闭】
喉,是人体的阀门
开阖间,维系着生命的运转
然而,有这样一群不幸的孩子
因先天喉软骨发育不良
出生起自由呼吸竟成了一种奢求
……
日前,作为省、市两级危重新生儿救治中心及青岛市危重新生儿转运中心,青岛市妇女儿童医院危重新生儿转运中心从莱州转运了一例声带麻痹合并先天性喉软化(重度)的危重新生儿,多学科协作实施经电子支气管镜下激光介入治疗重建气道,填补了医院微创治疗此类疾病的技术空白,这也是岛城首例经电子支气管镜下激光介入治疗喉软化合并声带麻痹新生儿手术。

01
出生呼吸不畅
原因为何?
患儿天天(化名)足月出生,肉嘟嘟的很是可爱。可一吃奶就呛咳哭闹,且伴随阵发性的口唇青紫及呼吸困难,当地医院积极予以呼吸机支持等治疗,依然病情危重。为进一步诊治,天天被转运至青岛市妇女儿童医院新生儿重症医学中心(NICU)。
02
镜下探查
锁定气道异常
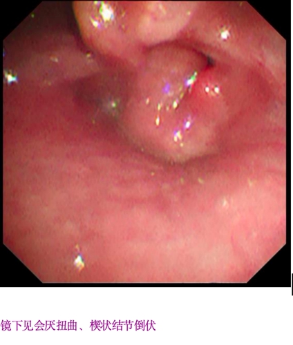
吸气性呼吸困难伴有吸凹征这一典型症状引起了NICU团队成员的警惕,高度怀疑天天存在上气道梗阻。儿童呼吸内科医生采用电子支气管镜进行检查,验证了上述判断!支气管镜下发现天天会厌扭曲、楔状结节倒伏,遮盖部分声门,声带外展活动极弱,诊断为声带麻痹合并先天性喉软化(重度,OlneyⅠ型)。

03
双重堵塞
救治刻不容缓
先天性喉软化,又称喉软骨软化症,由于喉部软骨结构发育不成熟或异常柔软,导致吸气时喉部组织塌陷,阻塞气道,从而引发一系列呼吸和喂养问题。声带麻痹是指支配喉内肌群的运动神经传导通路受损导致声带的运动障碍,严重可导致呼吸困难、呛咳、误吸及吞咽障碍,甚至危及生命。

这两种先天性疾病如同两把锁,卡住了天天的“生命通道”,病情不容乐观。
04
紧急讨论
确定治疗手段
医院紧急组织疑难病例讨论,NICU、儿童呼吸内科、耳鼻喉科、心血管麻醉科等多学科专家讨论认为,按传统治疗手段,不仅治疗时间长,后期并发症多,最终决定由呼吸介入专家实施经支气管镜下局部注射肉毒素及激光治疗。激光介入治疗通过热能破坏塌陷的组织,无需开刀,创伤小,恢复快。
05
激光介入
撑起生命支架
3月18日,手术如期开展。静脉麻醉后,医生分别在患儿双侧喉室内穿刺注入肉毒素。随后喉罩通气下在会厌舌面、双侧后联合外侧面予激光治疗,激光束如一把“光之刀”,重塑塌陷的喉软骨结构,为气道撑起生命的支架,会厌扭曲、楔状结节倒伏减轻,软化改善。手术顺利完成!

目前,天天各项生命体征平稳,在NICU接受后续治疗。

