弹弹弹!弹坏 2 颗下前牙!家长速查,这些一沾就上瘾的小动作娃“中招”了吗?
发布时间:2026/1/5 17:16:29 / 【关闭】
啃指甲、咬笔帽、撕手皮、抠痘痘……
家长对孩子的这些不经意的小习惯早就见怪不怪了,总觉得不过是孩子缓解压力的小插曲,睁一只眼闭一只眼就过去了。
可谁能想到,青岛11岁男孩皓皓(化名)的一个“指尖小游戏”,竟让4颗牙齿遭了殃!近日,青岛市妇女儿童医院口腔中心主任杨芳接诊了这位特殊的小病号。

01 11岁就牙齿松动疼痛,咋回事?
清秀帅气的皓皓是捂着嘴巴进的诊室。
一旁的家长一脸焦急:“医生,孩子说牙疼得厉害,连饭都吃不了,可他既没蛀牙也没磕着碰着啊!”
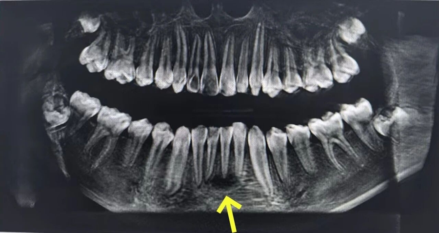
口腔科医生检查后直皱眉:皓皓的四颗下前牙都有明显叩痛,其中左下两颗已经松动,唇侧牙龈还在溢脓,前庭沟也肿了。

CBCT(口腔锥形束计算机断层扫描检查)提示根尖周大面积低密度影,结合牙髓电活力测试,最终诊断为31、32急性根尖周炎、牙周-牙髓联合病变!

02 追问病史,一个“独门习惯”闯祸
这到底是怎么一回事呢?
经医生追问,谜底终于揭开 —— 罪魁祸首竟是皓皓维持了一年的“独门习惯”:手指弹牙!
这事儿还得从一年前说起。家长偶然发现皓皓总爱无意识地翘起手指,对着下前牙 “弹弹弹”,清脆的 “哒哒” 声成了日常。每次提醒,皓皓都乖乖点头答应改正,可转头就忘,手指像有了自己的“想法”,不自觉就凑到了嘴边。
半年前,皓皓的下前牙突然开始隐隐作痛。家长隐约觉得和弹牙有关,勉强控制了几天,可吃了几片止痛药缓解后,又“好了伤疤忘了疼”,弹牙的小动作变本加厉。
直到最近,牙疼卷土重来,还来势汹汹,下嘴唇都肿了,一碰疼的直咧嘴,嘴巴闭不上,饭也不能吃了,于是来青岛市妇女儿童医院口腔中心一探究竟。
03 实施三步走牙齿“拯救计划”
“这孩子的情况太少见了,但后果很严重!” 医生解释,长期用手指弹牙,相当于持续给牙齿施加异常外力,不仅损伤了牙体组织,还破坏了牙周支撑,才酿成了这样的后果。
为了保住这几颗牙,医生制定了长达半年的“拯救计划”:
第一步:制作咬合板(一种放在上下牙齿之间的口腔医疗器械),解除咬合创伤;
第二步:用弹力纤维带固定松动牙;
第三步:通过根管治疗 + 牙周基础治疗控制感染;
第四步:通过正畸治疗彻底解决咬合创伤。
躺在牙椅上佩戴咬合板的皓皓,感受着口腔里的异物感,别提多后悔了:“早知道弹牙会把牙弄坏,我肯定早就改掉了!”家长也满是自责,坦言没能狠下心帮孩子纠正这个小习惯,才让小问题拖成了大麻烦。
健康提醒
其实,像皓皓这样因不良习惯伤牙的案例并不少见。此前,青岛市妇女儿童医院口腔科还接诊过一个爱裹嘴唇的小女孩,长期反复的吸吮动作,硬生生把下牙裹得排列紊乱,同样经历了漫长的治疗。
很多人觉得咬笔、吮指、磨牙这些都是小毛病,却不知道它们产生的持续异常力量,会对牙齿的排列、结构和支撑组织造成渐进性、不可逆的损害:
最直接的伤害是牙齿磨损,影响健康。夜间磨牙、“咬紧牙关”、用牙齿开瓶盖、咬硬物等习惯的咬合力会磨损牙釉质,暴露牙本质,引发冷热刺激痛,严重的甚至会导致牙髓失活甚至拔牙。
容易造成牙齿不齐,影响颜值。吮指、吐舌等习惯将前牙向前推或向下压,是造成前牙开合(上下牙咬不上)和龅牙的主要原因。而口呼吸因舌位下沉,导致颊肌力量失衡,会引发上牙弓狭窄与牙齿拥挤,不仅影响美观,还会影响咀嚼和发音。
损害牙周组织,造成牙齿松动。比如,夜磨牙产生的异常咬合力会超出牙周膜的承受极限,长期可导致牙槽骨吸收,使牙齿逐渐松动。同时,不良习惯还可能伴随错误的咀嚼方式,加重特定牙齿的负担,造成局部创伤,让牙周问题雪上加霜。
青岛市妇女儿童医院口腔中心,秉承“以患者为中心,预防与治疗并重”的理念,密切关注儿童口腔颌面部和全身生长发育规律,为15岁以下儿童以及成人提供口腔常见疾病的专业化诊疗,无痛舒适化诊疗始终贯穿,温馨提示——无论大人还是孩子,都应意识到口腔不良习惯的危害性并主动戒除。定期口腔检查可及早发现问题,建议每 3~6 个月做一次口腔检查,避免小习惯引发大麻烦。

