因感冒就诊,血液科团队凭血常规追问出关键病史,一举揭开罕见遗传病谜团
发布时间:2025/11/25 17:54:42 / 【关闭】
天气越来越冷,感冒频繁“冒头”,很多家长对此早已习以为常。但对 10 岁的小琳(化名)一家来说,一场看似普通的感冒,却揭开了一个隐藏多年的谜团。近日,作为省级儿童专科区域医疗中心、省儿童健康与疾病临床医学研究中心,依托青岛市妇女儿童医院成立的青岛市儿童罕见病诊治中心,通过多学科协作(MDT),血液科团队凭借敏锐的专业洞察力,从一张异常的血常规报告入手,追根溯源,成功确诊了罕见的 Shwachman-Diamond 综合征(SDS),也称儿童胰腺功能不全并中性粒细胞减少综合征,为患儿带来了精准的治疗方案。

01 从血象异常,追问出关键病史
小琳从小就是个“体弱娃”,感冒发烧如同家常便饭。前段时间气温骤降,她再次“感冒发烧”,妈妈像往常一样带她来到青岛市妇女儿童医院。本以为只是常规的抗病毒、退烧、止咳治疗,没想到血常规报告却出现了异常:中性粒细胞和血小板持续偏低。这两种指标分别是身体的“免疫卫士”和“凝血帮手”,双双“罢工”的情况引起了血液科医生的高度警惕。
医生详细追问病史时,捕捉到了一个关键线索——小琳妈妈无奈地表示,这孩子打小就“难带”,不仅反复腹泻,大便总是油乎乎的粘马桶,异味格外重,而且身高体重常年“掉队”,现在比同班同学矮了大半个头。尽管家长一直精心搭配饮食、四处寻求调理方法,但腹泻症状时好时坏,生长发育迟缓的问题也始终没有改善。
02 进一步检查,揪出罕见遗传病
血象异常、反复腹泻、大便异常、发育落后,这些看似孤立的症状,在经验丰富的血液科医生眼中,却指向了同一方向。为了查明真相,医生为小琳安排了进一步检查,骨髓穿刺结果提示造血功能异常,而最终的基因检测报告给出了明确答案 ——Shwachman-Diamond 综合征(SDS)。

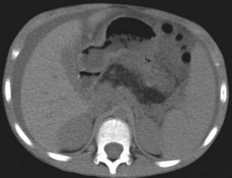
CT 所示胰腺区脂肪密度影
这一诊断让小琳一家措手不及,“本以为只是普通的发热咳嗽,怎么会查出罕见病?”对于这种闻所未闻的疾病,小琳妈妈一时间难以接受。
SDS是一种常染色体隐性遗传性疾病,以骨髓功能障碍、胰腺外分泌功能不全及骨骼异常为主要特征,其致病相关基因SBDS定位于第 7 号染色体的 q11 区域,约90% 的患者存在该基因突变。
该病十分罕见,患儿常以脂肪泻、肝酶异常为首发症状,随后会出现反复感染、生长缓慢、骨骼异常、血细胞减少等表现,需要通过大便脂肪含量、血清胰酶、胰腺影像学、骨髓细胞学分析及基因检测才能最终确诊。
小琳从小遭遇的腹泻、长不高等难题,再到此次感冒发现的血象异常,都是这一罕见遗传病在背后“作祟”。
03 精准研判,制定个体化对症治疗方案
面对这一棘手的罕见病,血液科团队迅速行动。
血液科作为青岛市医疗卫生重点学科,在儿童血液病诊疗领域实力雄厚,诊疗范围从常见血液病、肿瘤扩展到各类罕见血液病,治疗手段涵盖传统化疗、造血干细胞移植、靶向治疗、免疫治疗等,还细分了白血病专业组、移植组、出凝血组、血液病罕见病组等亚专业团队,能为各类血液疾病患儿提供精准治疗。
针对患儿的病情,团队制定了个体化治疗方案。小琳血液系统受累较为严重,可能引发骨髓衰竭、骨髓增生异常综合征或白血病等严重后果,团队展开长期密切监测和支持治疗,同时加强对胰腺、肝脏、骨骼、牙齿及免疫系统等方面的监测。干细胞移植可治愈该疾病引起的骨髓衰竭、同时可延缓其他系统病变进展,目前该患儿已经在移植前准备中。
经过一段时间的专业诊治和精心护理,小琳的腹泻症状明显改善,身高、体重开始增长,身体各项指标逐步好转,现已顺利出院。
健康提醒
青岛市妇女儿童医院血液科专家特别提醒广大家长,罕见疾病往往隐藏在常见症状背后,容易被忽视。如果孩子出现反复腹泻、大便油腻、身高体重增长落后于同龄人等情况,切勿掉以轻心,应及时带孩子就医。
相关链接
作为省级儿童专科区域医疗中心、省儿童健康与疾病临床医学研究中心,青岛市妇女儿童医院目前每年接诊、会诊疑难罕见病约200余例,现已建立罕见病MDT门诊,成立了涵盖内分泌代谢科、心内科、康复科、遗传咨询科、神经内科、血液科、肾脏免疫科、骨科、儿童肿瘤外科、儿保科、NICU、PICU、新生儿科、小婴儿科、心理科、营养科、新生儿筛查中心、基因检测中心等18个学科组成的院内儿童疑难罕见病会诊中心,组建儿童疑难、罕见病诊治专家团队,建立儿童疑难罕见病筛查和会诊机制。医院设有远程会诊中心,开展疑难、罕见病跨地域多学科协作,有效提高罕见病确诊,逐步实现罕见病本地化诊治。未来,青岛市儿童罕见病诊治中心将持续发挥技术优势,为更多罕见病患儿提供精准、高效的医疗服务,守护儿童健康成长。

