小伙因“感冒”就医,医生敏锐识破致命肺栓塞!精准介入取栓碎栓,成功化解“夺命危机”
发布时间:2025/10/29 17:07:22 / 【关闭】
“以为只是普通感冒,没想到差点丢了命!”
康复出院时,35 岁的壮小伙小李(化名)仍心有余悸。而这场“夺命危机”的元凶,竟是肺栓塞。
肺栓塞,号称“沉默的杀手”,因症状隐匿、发病突然,常让人猝不及防,不少真实案例令人痛心惋惜。而及时识别与精准治疗,正是战胜它的关键。
近期,青岛市妇女儿童医院介入医学团队凭借敏锐的判断和精湛的技术,不仅成功挽救了这名青年患者的生命,还接连救治了多名突发肺栓塞的孕产妇,守护了母婴安全。
01 因“感冒”就诊,医生敏锐捕捉关键信息
小李因胸闷、憋气、咳嗽就诊,起初他以为只是普通感冒。
但接诊医生在问诊中敏锐捕捉到关键信息,小李除了呼吸道症状,还伴有下肢疼痛,结合其长期久坐办公的日常状态、静脉曲张的病史,医生立刻警惕起来:这并非普通感冒那么简单,下肢深静脉血栓引发肺栓塞的风险极高!
02 检查印证担忧,双肺存在大量血栓
临床上,有一种疾病叫"静脉血栓栓塞症(VTE)",最常表现为下肢深静脉血栓形成(DVT)和肺栓塞(PE),严重情况下可导致休克或猝死。
因其危险因素之一就是久坐不动,医学上也把这种现象称作"经济舱综合征"。长时间处于狭小空间保持同一姿势,会严重影响下肢静脉回流,若叠加血管基础疾病、凝血功能异常等因素,极易形成下肢深静脉血栓。一旦血栓脱落,随血液流动至肺部,就会引发危及生命的肺栓塞。
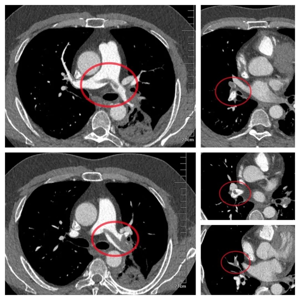
为明确诊断,医生迅速为小李安排下肢血管彩超检查,结果证实了担忧:右侧小腿肌肉内静脉附壁血栓,右下肢深静脉血栓形成,且血栓头端部分游离,随时可能脱落引发致命性肺栓塞。进一步的血气分析显示,小李存在严重低氧血症,强化肺动脉 CTA 更提示双肺已出现大量血栓,救治刻不容缓!

△强化肺动脉 CTA 提示双肺已出现大量血栓
03 精准介入治疗,效果立竿见影
介入医学团队紧急制定手术方案,一场与死神赛跑的介入治疗随即展开。手术分三步精准推进:
首先通过下肢静脉造影,清晰定位血栓位置与负荷;
随后置入下腔静脉滤器,如同在血管内筑起“防护网”,有效预防血栓脱落引发更严重的肺栓塞;
最后通过肺动脉造影,精准实施取栓、碎栓操作。

整个手术仅用一个半小时便顺利完成,血栓被彻底清除。术后效果立竿见影,小李的胸闷、憋气症状明显缓解,咳嗽咳痰好转,右下肢疼痛也有所减轻。
经过后续护理,小李顺利康复出院,再三向救治团队表达感谢。

成功救治多名肺栓塞孕产妇
值得关注的是,孕产妇也是肺栓塞的高发人群。孕期血液高凝状态、子宫压迫导致下肢静脉回流不畅、保胎期间长期卧床等因素,都让孕产妇面临发病高风险。青岛市妇女儿童医院作为妇产专科医院,以丰富的经验和专业的技术守护母婴安全,介入医学团队接诊并成功救治多例因下肢疼痛肿胀就诊的肺栓塞孕产妇,正是得益于及时发现与治疗,避免了病情恶化。
健康提醒
肺栓塞并非不可防、不可控。青岛市妇女儿童医院介入医学专家提醒,频繁乘坐飞机、火车等长途交通工具;长期卧床、久坐办公、缺乏运动;吸烟;肥胖导致下肢负荷过重;有血栓病史、凝血功能异常;近期接受足部手术或发生足部骨折;有三高(高血压、高血脂、高血糖);以及孕产妇等群体都属于肺栓塞高危群体,需格外警惕。若出现胸闷、胸痛、憋气、下肢疼痛肿胀、黑朦、晕厥等症状,需立即就医。

