半岛网:2岁“熊孩子”咬破水银体温计,家长的这个做法赢得医生赞许
发布时间:2022/6/6 15:19:39 / 【关闭】
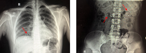
“医生医生……孩子不小心把体温计内的水银吃了,咋办咋办?”端午节假期期间,青岛妇儿医院急诊室里,一对夫妇抱着孩子神情慌张地发出急问。原来,2岁的蕊蕊(化名)在家量完体温后,趁大人不注意,自己拿着体温计玩的时候咬破了体温计的尖端,并将水银和一部分玻璃碎屑吞了下去。大人发现后吓坏了,赶紧抱孩子来就医。

注意!经伤口吸收的汞会产生较大的毒性
目前,监测体温成了每个家庭必不可少的操作,很多家长认为水银体温计测量数据更“准确”,于是把其当成家里的必备品。然而有些家长粗心大意,存放不当或者错误使用,很容易导致意外的发生。
蕊蕊爸爸告诉医生,当孩子妈妈给测完体温后,孩子在拿着玩耍时一下子把有水银的一端咬破了。当他们发现了以后,马上清理了孩子的口腔,将玻璃碎片取了出来,然后让孩子喝了一盒牛奶。这种做法是否可取?待医生听完后,给孩子爸爸妈妈竖起了大拇指,一直夸孩子爸爸妈妈做得非常好!
医生解释,水银体温计是由玻璃和金属汞构成,咬碎后的碎片可能会导致口腔、咽喉部、胃肠道黏膜的损伤,严重者甚至会导致穿孔。水银经胃肠道吸收甚微,但误吞水银者如果胃肠道黏膜有溃疡伤口,水银便会经溃疡或者伤口立刻进入人体血液,这样吸收的汞会产生较大的毒性,严重可危及生命安全。而及时摄入蛋清、牛奶等可有效保护消化道黏膜,减少毒物的吸收。后经急诊科医护人员进行专业的清理口腔,洗胃,催吐,加速排泄等措施,终于将孩子肠胃内残留的水银排泄干净。
建议!吞服水银后立即服用蛋清、牛奶或豆浆
“体温计破碎后千万不要直接用手去捡碎渣和水银珠,万一手上有伤口或者捡的时候不小心弄破了皮肤,都有可能使水银通过伤口进入血液中,从而引起中毒。” 医生郑重提醒广大家长,在处理破碎温度计的时候,应遵循正确的方法。
首先,让孩子立即离开打碎水银的房间,仔细观察孩子口腔是否有划伤,取出孩子口中的玻璃碎片。接下来,看孩子的手指是否被划伤,清理孩子接触汞的部位。对于吞服了水银的宝宝,可以先让他喝一些蛋清、牛奶或豆浆保护胃肠黏膜;最后,尽快带孩子去医院就诊。处理完孩子这边,就是对于环境的处理了。暴露在空气中的水银很容易挥发到空气,但这比误吞入肚的水银更危险。因为水银在空气中挥发后,会变成汞蒸气,它很容易被吸入体内,从而引起中毒。由于水银在高温下更容易挥发,所以要立即关闭暖气。关闭所有通向其他房间的门窗,打开被污染的房间的门窗,保持至少24小时的通风。用小铲子或戴上手套用湿润的小棉棒或胶带纸将洒落在地面上的水银粘集起来并放入密封小瓶中;然后在瓶中加入少量水,并在瓶上写明“废弃水银”等辨识性文字后,丢至合适的垃圾桶里。
医生补充提醒,除了水银温度计,学龄前期的孩子对外界充满好奇心,但是没有安全意识,硬币、纽扣、发夹、电池、小磁铁、枣核、小钉子等都是危险品,这些异物容易损伤消化道、气管,甚至引起窒息等危及生命,因此,家长应时刻看护好孩子,避开或避免接触危险异物。一旦出现误吞或误吸异物,请及时就医。
编辑: 徐晓
https://news.bandaoapp.com/shares/tuwen.html?newsId=731190264496132096


