鲁网青岛:危险!“花生碎”误入1龄童气道,“小镜子”显威力巧取异物
发布时间:2022/2/28 9:14:37 / 【关闭】
鲁网2月24日讯 气道异物就是将常见的花生、瓜子、黄豆、玉米粒、鱼骨等误吸入气管里,进入支气管或其深部。
据统计,我国每年有近五万儿童因意外伤害而死亡,其中气道异物梗阻窒息死亡的近3000名,占6%。
近日,家住城阳的小雨(化名)在家人喂食花生时突然出现呛咳,1岁的小雨咳嗽了十多分钟,吐出了一些花生残渣。随后孩子依然反复咳嗽,呼吸时伴有异响,家长立即带其到北京大学人民医院青岛医院(青岛妇儿医院城阳院区)儿童急诊科就诊。

由于误呛异物属于急症,医护人员立即开通儿童气道异物救治绿色通道,按照预检分诊三级分诊优先安排小雨就诊。
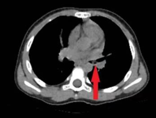
接诊医生询问孩子病史,为其完善胸部CT、重建气道,明确异物位置,发现小雨的左侧支气管内有异物。

气管、支气管异物是一种潜在危及生命的急症,孩子哭闹或者咳嗽后随时可能随气流发生移位,特别是嵌顿在声门处会迅速出现呼吸困难、窒息危及生命,尽早诊断和取出异物是减少并发症和降低病死率的关键。为提高救治效率,急诊科开放绿色通道,为气管、支气管异物打造了一条“黄金”抢救通道。
接诊医生立即组织救治团队会诊,启动应急预案,为孩子进行急症手术。
儿童危急重症救治要的是“速度”,儿童急诊科、内镜室、麻醉科、检验科多部门迅速集结。从小雨来院仅用时2个余小时,就诊、胸部CT、确诊、核酸检测、麻醉、手术等所有环节一气呵成。内镜医生顺利从其支气管内取出花生碎块,随后小雨转至儿内科病房。目前孩子已康复出院,恢复了往日的活泼。
青岛妇儿医院城阳院区儿童急诊专家提醒:坚果类食物是最常见的气道异物,建议不要给3岁以下的孩子进食坚果,纠正孩子口含食物的习惯,进食时避免引逗孩子笑,让孩子远离小积木等危险小物品。孩子一旦发生气道异物,请立即到医院就诊,以免贻误病情。(本网记者)
责任编辑:孟庆喜
http://qingdao.sdnews.com.cn/jk/202202/t20220224_3024333.htm


